Our Goal
At Lawrence Dental Solutions, we strive to exceed your expectations and create the best possible dental experience. We specialize in personalized, comprehensive care and a holistic, biological approach to dentistry.
More about Our Goal Our Office Purpose
We are committed to helping and empowering our clients to identify, achieve, and enjoy their own preferred future through our enthusiasm for the opportunities that an exceptional and rewarding dental practice can bring
to their lives.
Office Purpose A Tradition of
Personalized Care
Operating as a family business, we understand how important it is to provide each of our patients with only the best personalized dental care. Our team possesses exceptional skills that...
Our Doctors Welcome to the Website of Lawrence Dental Solutions
Operating as a family business, it is our priority to provide each of our patients with the kind of personalized care they should expect from their dentist. We, and our team of staff members, possess the exceptional skills that come from extensive training, and our office is equipped with the resources and technology to allow our patients the best possible dental experience whether they visit for a dental exam and cleaning or to improve their smile with cosmetic services. In addition to a high standard of clinical care, we place great importance on delivering services through a personal approach in which our patients are included in the process of determining the best solutions to achieve optimal oral health.
We are glad that you have visited our site. We hope to meet you personally and consult with you regarding your dental goals. In our state-of-the-art office, our appointment times are carefully scheduled so that each patient is seen on time and given the undivided attention he or she deserves. We look forward to helping you reach and maintain your healthiest smile!
Sincerely,
Dr. Kelly Miller
We are glad that you have visited our site. We hope to meet you personally and consult with you regarding your dental goals. In our state-of-the-art office, our appointment times are carefully scheduled so that each patient is seen on time and given the undivided attention he or she deserves. We look forward to helping you reach and maintain your healthiest smile!
Sincerely,
Dr. Kelly Miller
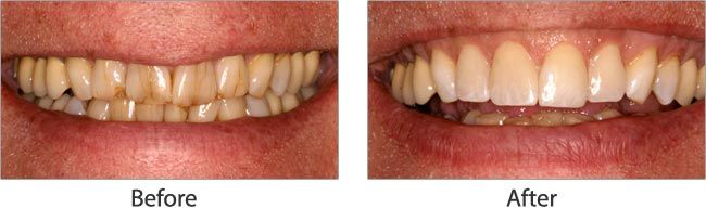
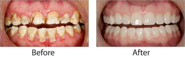
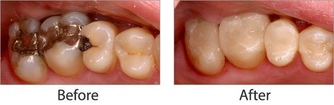
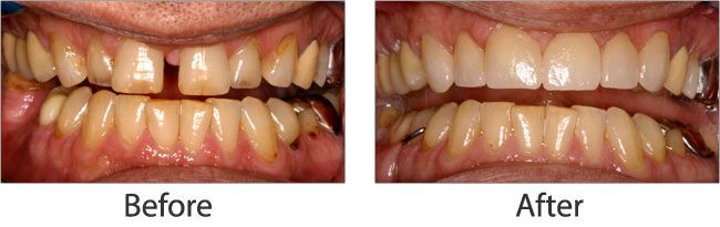
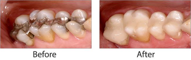
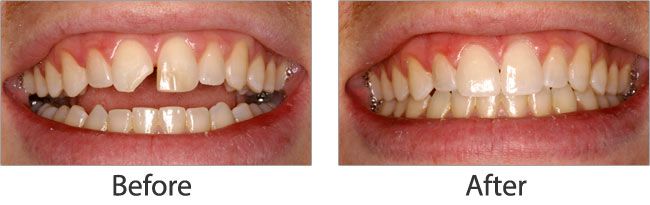
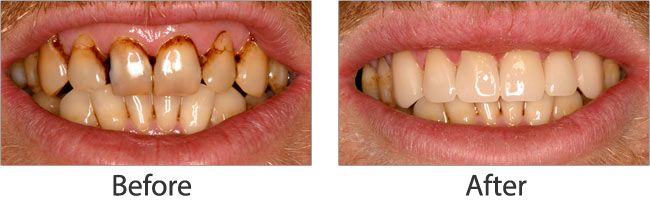
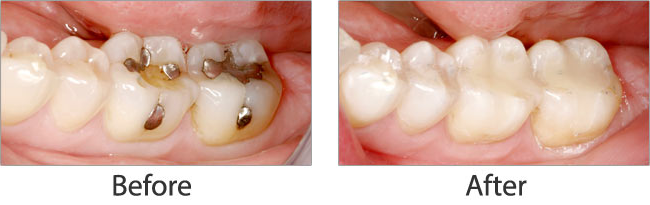
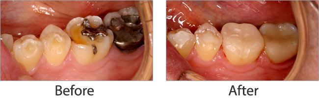
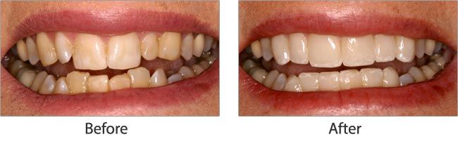
Smile Gallery
We welcome new patients with a complimentary one-on-one consultation with Dr. Kelly Miller, during which patient and doctor will discuss specific needs and concerns.
Our goal is to exceed your expectations and create your best possible dental experience, which we provide through a number of innovative services that span the realm of general and cosmetic dentistry. We also have a firm commitment to the longevity of our restorations, which are approached to serve our patients for many years. Naturally, the lifespan of any dental treatment is also dependent upon the care maintained by our patients, and on regular recare visits. However, with that in mind, our patients have the benefit of Lawrence Dental Solutions Peace of Mind Dental Warranty. The warranty we offer on our dental work includes procedures such as:
- Porcelain restorations including bridges, crowns, onlays and inlays
- Gold crowns and porcelain-fused-to-metal crowns, inlays, onlays and bridges
- Cosmetic denture teeth
- Teeth whitening
- Dental sealants
- Cosmetic fillings or bonding
Video Gallery













